High Tibial Osteotomy (HTO) in Nagpur
Quick Enquiry
A Modern Way to Preserve Your Natural Knee
Knee pain doesn’t always mean you need a knee replacement.
Sometimes, the problem isn’t that your joint is “worn out”. It’s that your knee alignment has shifted, putting too much pressure on one side of the joint.
This is where High Tibial Osteotomy (HTO) comes in.
It’s a specialised surgery that helps realign your leg bones so your body weight is evenly distributed across the knee, reducing pain and slowing the progression of arthritis.
At Nagpur Arthroscopy & Sports Injury Centre, Dr. Siddharth Jain, a fellowship-trained arthroscopy and sports injury specialist, performs High Tibial Osteotomy in Nagpur using precise, minimally invasive techniques designed to relieve pain, improve walking, and preserve your natural joint for years.
What Is the Tibia?
The tibia is your shinbone. It is the large bone below your knee.
When your knee wears unevenly (for example, on the inner side), it can make your leg look slightly bow-shaped. This puts extra pressure on one half of the joint, causing pain while walking or climbing stairs.
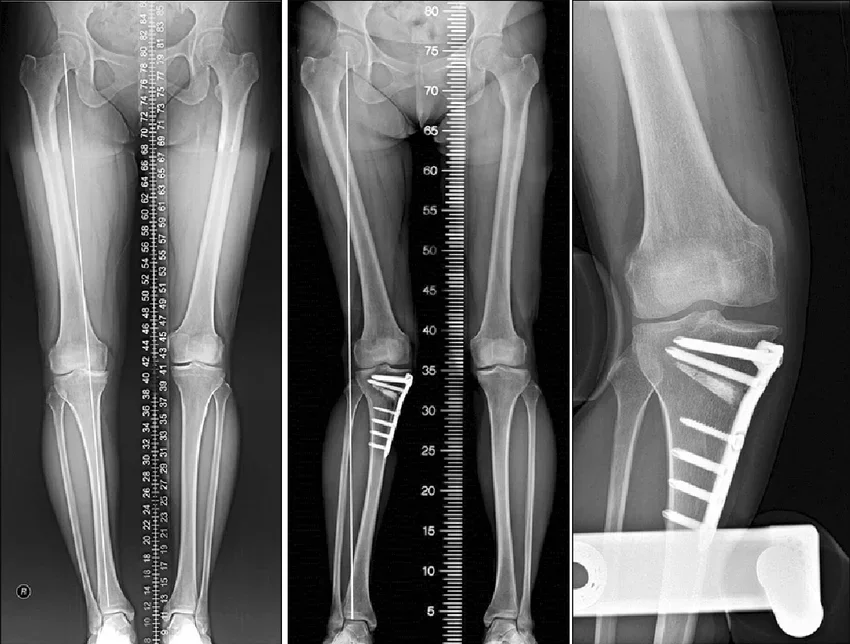
High Tibial Osteotomy (HTO) is a surgical procedure that gently cuts and reshapes the upper part of the tibia to shift weight back to the healthier side of the knee.
In simple terms, it “rebalances” your knee rather than replacing it.
Why Does the Knee Go Out of Alignment?
Common reasons include:
- Early arthritis (wear and tear) of one side of the knee
- Previous injuries or fractures around the knee
- O-shaped (bow-legged) or X-shaped legs since birth
- Repetitive strain or sports injuries that change joint load
- Ageing and uneven cartilage wear
Over time, this misalignment puts additional stress on one part of the knee, leading to pain, swelling, and stiffness.
When Is High Tibial Osteotomy Recommended?
Dr. Siddharth Jain may suggest HTO if:
- You have pain mainly on one side of the knee (usually the inner side)
- You’re younger or active and want to delay knee replacement.
- Your joint space is still partly healthy.
- You have bow legs or a knee deformity, which causes uneven pressure.e
In short, if one half of your knee is still strong, HTO can help save it and preserve your natural joint for many more years.
So, in a way, you can call it a knee-preservation surgery or a bow-leg-correction surgery. Dr. Siddharth Jain is an expert in performing bow-leg correction surgery in Nagpur.
How Dr. Siddharth Performs Tibial Osteotomy in Nagpur
Here’s what happens step by step:
- The surgery is done under anaesthesia.
- A small cut is made near the upper tibia (shinbone).
- The bone is carefully opened or closed to correct the angle.
- A small plate and screws hold the bone in the new position.
- The corrected angle allows weight to spread evenly across the joint.
Knee alignment surgery/HTO is a minimally invasive procedure that takes about 1–2 hours. And most patients start walking with support within a few days.
What Are the Benefits of HTO?
Preserves your natural knee joint
Delays or avoids knee replacement.
Relieves pain and improves walking
Corrects leg shape (bow-legs or knock-knees)
Allows you to return to daily and sporting activities
Long-term results when done in early arthritis stages
Who Is a Good Candidate For High Tibial Osteotomy (HTO)
HTO works best for:
- Patients aged 30–60 years
- Active people who still have good cartilage on one side
- Those with uneven knee wear but not total arthritis
- People who want to stay active without joint replacement
If you are searching for the best knee preservation doctor in Nagpur, Dr. Siddharth is the right choice who can guide you from scratch and suggest the best treatment options to you.
Recovery and Rehabilitation After HTO Surgery
Recovery is gradual and guided by physiotherapy.
- Hospital stay: 2–3 days
- Walking with support: 1 week
- Physiotherapy: starts early to maintain motion
- Full weight-bearing: after 6–8 weeks (based on healing)
- Return to routine work: 6–8 weeks.
- Sports / heavy activity: 3–4 months
During this time, Dr. Jain’s team supports you with exercise plans, diet guidance, and follow-up X-rays to ensure your knee heals perfectly.
A Message from Dr. Siddharth Jain
“The goal of High Tibial Osteotomy is not just to stop pain. It’s to protect the healthy part of your knee for as long as possible.
Many of my patients who were once told they needed knee replacement are now walking pain-free for years after HTO. It’s a bridge between conservative care and replacement surgery.”
Why Choose Nagpur Arthroscopy & Sports Injury Centre
- Expertise in joint preservation and arthroscopic surgery
- Use of digital alignment tools and 3D planning for precision
- Comprehensive care — from diagnosis to rehab
- Personalised treatment for every patient, based on age, activity, and lifestyle
- Compassionate guidance throughout your recovery
Frequently Asked Questions about High Tibial Osteotomy (HTO) in Nagpur
Is High Tibial Osteotomy the same as knee replacement?
No. HTO corrects the angle of the knee to take pressure off the damaged area. It preserves your natural joint, while knee replacement replaces it with metal and plastic parts.
How long does the effect of HTO last?
If done at the right time, results can last 10–15 years or more, depending on lifestyle and activity.
Will I be able to walk normally again?
Yes. Most patients walk with support within a week and resume daily activities in a few weeks.
Is HTO painful?
The surgery is done under anaesthesia so that you won’t feel pain during the procedure. Mild soreness after surgery is expected but manageable with medicines.
Can it delay knee replacement?
Yes. That’s the main goal — to preserve your natural knee and delay the need for replacement, especially in younger patients.